Self Comes to Mind

Music, Art & Science Come Together
in a Musical Work about the Evolution of Mind

text by Antonio Damasio, music by Bruce Adolphe received its world premiere
at the American Museum of Natural History May 2nd, 2009
Yo-Yo Ma and percussionists Ayano Kataoka and John Ferrari

Media

Self Comes to Mind

Music by Bruce Adolphe
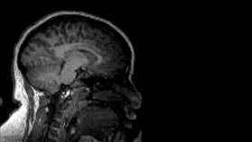
Film by Ioana Uricaru, with brain scan images by Hanna Damasio
Performed by Mark Kosower, cello; Ayano Kataoka and John Ferrari, percussion

Click images below for music and video.

The music for Self Comes to Mind was commissioned with support from Joan and Allan Fisch

Download the Quicktime Player to view these videos

For performance materials, contact The Learning Maestros

Discussion during performance Jonah Lehrer, Antonio Damasio, Yo-Yo Ma and Bruce Adolphe
at the American Museum of Natural History, May 2nd, 2009

Notes on the collaboration with neuroscientist Antonio Damasio

Text by
Antonio Damasio
Self Comes to Mind is the third work I have composed based on Antonio Damasio’s writing. The first two — Body Loops for piano and chamber orchestra and Memories of a Possible Future for piano and string quartet — were inspired by ideas in his book Descartes’ Error.  Self Comes to Mind differs in that it was a collaboration with Antonio.

I had been considering some passages from The Feeling of What Happens: Body and Emotion in the Making of Consciousness, but could not resist asking Antonio if he would write something specifically for me. He agreed, and asked me about the musical instruments that would play the work, how it would represent mind or consciousness, and suggested that we get a great musician who could be the “protagonist” of the work. We agreed that Yo-Yo Ma would be a great choice for this role. Yo-Yo and I discussed the project, and he suggested that I use percussion, and he also encouraged Antonio and me to explore a visualization of the music and text.

Antonio’s wife and colleague Hanna Damasio is renowned for her brain scan images, and her book of scans is regarded as an international standard by neuroscientists.

Antonio sent me several versions of his text on the evolution of the mind, which eventually he titled Self Comes to Mind. The text is profoundly poetic, as anyone who has read his books would expect it to be. While the ideas behind the text are rooted in scientific thought, the language is simple, vivid, unforgettable. Antonio’s most recent book is called Self Comes to Mind.

In composing the music for Self Comes to Mind, I followed closely the qualities of the text, namely its narrative energy, rhythm of images, emotional texture, and the articulation of specific biological concepts that suggested musical parallels. The cello serves as the focus of the narrative and the percussion instruments are employed to amplify and modulate ideas, textures, and colors.

Because I conceived the music in rich, multi-layered harmonies and contrapuntal melodic patterns, it was necessary to have two percussionists rather than one. In addition, with two percussionists, the players can surround the solo cello, giving the cello more acoustic and visual focus as the protagonist/mind of the work.

Even though I have composed many works that seem to have a program – including music “about” abstract expressionist paintings, Shakespearian characters, Gauguin’s journals, and even dinosaurs – I am fully aware that in music it is impossible to separate technique and expression. For me, it is never a matter of musical illustration but rather finding technical and expressive parallels to extra-musical ideas.

Science is particularly inspiring and provocative for composition because it uses terms and images that embrace musical action. But more specifically, neuroscience for me has opened up a world of musical ideas because I have come to suspect that music itself is an expression of our physical minds, or the way our minds work. It has long been accepted that much musical rhythm stems obviously from our pulse, our circulatory system and also from our breathing patterns. It seems likely that some aspects of music reflect how our memories work, how we retrieve, organize, reconstitute, and recognize what we know from the past or imagine for the future. Antonio Damasio’s words are a wonderful combination of poetic elegance and scientific brilliance. His science writing gives me, as a composer, images that provoke structural consequences in the music, and his poetic nature allows for the ambiguity necessary to abstraction and musical expression.